La Chirurgia Orale o Chirurgia Odontostomatologica praticata nel nostro studio dentistico include tutto ciò che è la patologia chirurgica legata a bocca e denti. Nella stragrande maggioranza dei casi le procedure di chirurgia orale possono essere eseguite utilizzando anestesia locale anche se in alcuni casi è necessario eseguire una anestesia generale (non praticabile direttamente nello studio dentistico).
Anche se la maggioranza di queste procedure possono essere eseguite nella poltrona del dentista, le complicanze esistono per questo possediamo la formazione necessaria all'esecuzione di questo genere di trattamenti. Lo studio dentistico Temprendola tratta: Denti inclusi, resti radicolari, cisti di entrambe le mascelle, chirurgia parodontale, infezioni dentali, lesioni e trattamento delle lesioni dei tessuti molli intraorali: Queste terapie vengono incluse nel vasto campo di quella branca dell'odontoiatria che viene definita come Chirurgia Orale.

Cos'è la chirurgia orale?
È la specialità diOdontoiatria e Protesi dentaria o Chirurgia odontostomatologica che si dedica alla diagnosi prevenzione e trattamento chirurgico delle malattie, infortuni e difetti delle ossa mascellari, denti e regioni limitrofe.
Quand'è necessario estrarre i denti del giudizio?
L'indicazione più frequente all'estrazione dei denti del giudizio è l'assenza di spazio nella mandibola e/o mascella necessaria ad una corretta eruzione. Altre indicazioni sono l'eruzione di questi con angolazioni anomale o che possono danneggiare i denti vicini.
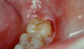
I denti del giudizio possono anche causare problemi di infiammazione ai tessuti parodontali a causa di un'incompleta eruzione che spesso per ristagno batterico può portare ad una infezione cronica della gengiva circostante il dente.


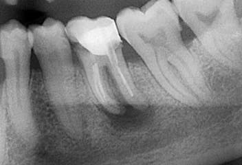
È necessario rimuovore cisti e radici residue dei denti?
Le cisti possono originare da infezioni latenti di denti malati oppure residui embrionali e radici che sono rimaste inclusi (imprigionate) nelle strutture ossee. L'intervento chirurgico che consiste nell'eliminazione dell'agente colpevole del processo infiammatorio garantisce una guarigione permanente. La terapia è indolore poichè eseguita sotto anestesia locale. Raramente una biopsia (prelievo) del tessuto si rende necessaria per uno studio istopatologico, atto a corroborare la diagnosi sospetta e pianificare se necessario ulteriori trattamenti complementari

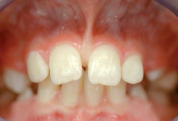
Quand'è necessario sottoporsi ad un intervento di frenulectomia?
La rimozione chirurgica del frenulo labiale è una terapia che viene presa in considerazione quando si riscontra che questi possano essere associati a difficoltà di fonazione, all'instaurarsi di condizioni parodontali patologiche come le recessioni gengivali o alla promozione di diastemi interincisali (spazio tra i denti incisivi).
Il fattore dirimente sta nel saper cogliere il momento adeguato di sviluppo ed eruzione dentaria in cui eseguire la rimozione del frenulo.
